New Patients:

Existing Patients:

Dentistry Before and After Photos in Cupertino

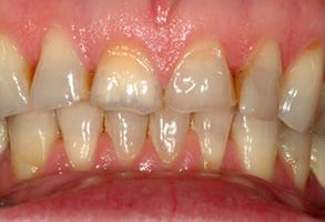
before

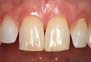
Before

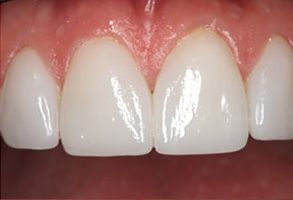
after

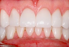
After

Dennis J. Hong DDS, Family   Cosmetic Dentistry | Dental Fillings, Dentures and Extractions

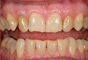
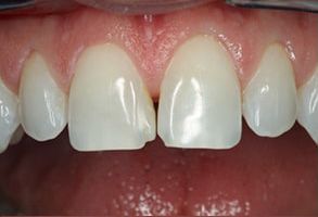
Before

Dennis J. Hong DDS, Family   Cosmetic Dentistry | Veneers, Extractions and Emergency Treatment

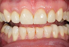
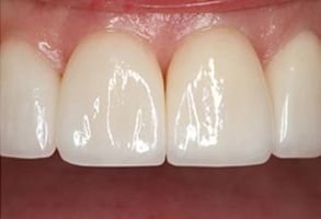
After

Dennis J. Hong DDS, Family   Cosmetic Dentistry | Periodontal Treatment, Dentures and Veneers

Before

Dennis J. Hong DDS, Family   Cosmetic Dentistry | Crowns  amp  Caps, Periodontal Treatment and Veneers

After

Dennis J. Hong DDS, Family   Cosmetic Dentistry | Pediatric Dentistry, Implant Dentistry and Dental Fillings

Before

Dennis J. Hong DDS, Family   Cosmetic Dentistry | Teeth Whitening, Dental Cleanings and Periodontal Treatment

After

Dennis J. Hong DDS, Family   Cosmetic Dentistry | Oral Exams, Teeth Whitening and Pediatric Dentistry

Before

Dennis J. Hong DDS, Family   Cosmetic Dentistry | Periodontal Treatment, Implant Dentistry and Dentures

After

Dennis J. Hong DDS, Family   Cosmetic Dentistry | Periodontal Treatment, Implant Dentistry and Dental Cleanings

Before

Dennis J. Hong DDS, Family   Cosmetic Dentistry | Dental Bridges, Pediatric Dentistry and Emergency Treatment

After

Dennis J. Hong DDS, Family   Cosmetic Dentistry | Periodontal Treatment, Dentures and Dental Bridges

Before

Dennis J. Hong DDS, Family   Cosmetic Dentistry | Teeth Whitening, Implant Dentistry and Dentures

After